Suchen | Feedback | Inhalt | English
 
 
Organ der
 

GD — Gesellschaft für Dermopharmazie e.V.

   
 

Home
Ausgabe:
1/2016
1/2015
1/2014
1/2013
1/2012
2/2011
1/2011
1/2010
1/2009
1/2008
2/2007
1/2007
2/2006
1/2006
2/2005
1/2005
2/2004
1/2004
2/2003
1/2003
2/2002
1/2002
4/2001
3/2001
2/2001
1/2001
1/2000
 
 
 
Weitere Links:
 
 
Gesellschaft für
Dermopharmazie
 
 
 
 
 

 
 

 

 

Ausgabe 1 (2002)


Autorenbeitrag
Th. Förster*, C. Jassoy, D. Petersohn, K. Schlotmann , M.Kaeten und M. Waldmann-Laue
Wirkstoffe gegen Hautalterung in kosmetischen Mitteln


*Schwarzkopf&Henkel und Zentrale Forschung Henkel, Düsseldorf

Vortrag anlässlich des GD-Symposiums "Wirkungen von Dermokosmetika" in Düsseldorf am 17. Oktober 2001

Ein wesentlicher Trend unserer Zeit ist die Herausbildung der Bevölkerungsschicht der sogenannten "jungen Alten". Vor allem in den entwickelten Ländern werden die Menschen aufgrund gesünderer Lebensweise und höherer Einkommen nicht nur immer älter, sondern auch zu einer immer aktiveren Bevölkerungsgruppe. Mehr freie Zeit steht zur Verfügung, die für zahlreiche soziale Kontakte genutzt wird. Gutes Aussehen wird zukünftig neben sorgfältiger Körperpflege eine bedeutendere Rolle spielen. Diese aktiven Alten akzeptieren nicht mehr, dass Falten und andere sichtbare Spuren der Zeit Auskunft über ihr Alter geben.

Neue kosmetische Wirkstoffe können dazu beitragen, die Haut eines Menschen um Jahre jünger erscheinen zu lassen, als es dem biologischen Lebensalter entspricht. Schwarzkopf & Henkel beschreitet bei der Wirkstoffforschung neue Wege, die gegenüber herkömmlichen Methoden sehr viel schneller und effektiver zu Ergebnissen führen.

Zusammenfassung


In einem künstlich gezüchteten (in vitro) Ganzhautmodell können Alterungsexperimente, wie zum Beispiel UV-Bestrahlungen, durchgeführt werden oder aber auch topische Behandlungen zum Schutz oder zur Pflege der Haut. Der große Vorteil ist, dass diese Hautmodelle eine Hornschicht wie normale menschliche Haut enthalten. Die Wirkstoffe können daher unter realistischen Bedingungen in einer Creme- oder Gelgrundlage aufgetragen werden. Die Wirkstoffe dringen durch die Hornschicht in die Haut ein und entfalten dort ihre Wirksamkeit.

Heute ist bekannt, dass die Hautalterung nicht nur die Dermis betrifft, hier vor allem Veränderungen in der Zusammensetzung der für die Hautfestigkeit und -elastizität verantwortlichen Matrixproteine, sondern auch die Epidermis und die Basalmembran zwischen diesen beiden Hautschichten. Effiziente Antiage-Produkte müssen daher ein breites Wirkungsspektrum auf alle relevanten Hautschichten aufweisen.

Nach sorgfältiger Untersuchung im Ganzhautmodell wurden mehrere Antiage-Wirkstoffe mit unterschiedlichen Antiage-Targets identifiziert. In kontrollierten Gebrauchsstudien konnte für die fertig entwickelten Marktprodukte die Antiage-Wirksamkeit in vivo sowohl durch quantitative Messung der Faltentiefenverteilung als auch durch subjektive Beurteilung der Wirkstoffcremes bestätigt werden. Die Antiage-Cremes wirken der Hautalterung entgegen und führen zu einem jüngeren Erscheinungsbild der Haut.

Hautalterung und ihre
physiologischen Grundlagen

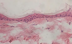
Gealterte Haut ist auf den ersten Blick durch das Auftreten von Falten, Schlaffheit und Altersflecken zu erkennen. Im histologischen Schnitt erkennt man auch einige Ursachen für diese Alterszeichen (Abb. 1).

Abb. 1: Mikroskopische Schnitte durch die Haut von einer 29-Jährigen (oben) und einer 69-Jährigen (unten)



In junger Haut ist der untere Teil der Haut, die Dermis sehr regelmäßig aufgebaut. Diese klare Struktur ist im Alter gestört: Die Dermis enthält unregelmäßige Strukturen und Auflockerungen und erscheint weniger kompakt. Die nächsthöhere Schicht, die Epidermis, ist im Alter etwas dünner als in junger Haut. Viel auffälliger als diese geringe Änderung der Epidermisdicke ist aber das Verschwinden der Krümmungen der epidermalen-dermalen Grenzfläche. In gealterter Haut ist diese Grenzfläche flach, was zu einer Schwächung der Kohäsion zwischen Dermis und Epidermis führt. In der obersten Schicht schließlich, dem Stratum Corneum, sind im Mikroskop kaum Unterschiede festzustellen.

Die Ursachen dieser histologischen Veränderungen in gealterter Haut sind erst in den Grundzügen bekannt und Gegenstand intensiver Forschungsanstrengungen. Heute ist bekannt, dass die Hautalterung nicht nur die Dermis betrifft, hier ist vor allem der veränderte Stoffwechsel der extrazellularen Matrixbestandteile zu nennen (1), sondern auch die Epidermis (2) und die Basalmembran zwischen diesen beiden Hautschichten (3). Effiziente Antiage-Produkte müssen daher ein breites Wirkungsspektrum auf alle relevanten Hautschichten aufweisen.

Wirkstoffuntersuchungen am
in-vitro-Ganzhautmodell

Ganzhautmodelle, auch dreidimensionale Hautmodelle genannt, entstehen durch Rekonstruktion einer Dermis und einer Epidermis unter definierten Laborbedingungen. Gegenüber konventionellen Fibroblasten-Kulturen oder Epidermismodellen weisen sie eine ganze Reihe von Vorteilen auf, die insbesondere bei der Wirkstoffprüfung von großem Nutzen sind (4,5):

1. die Möglichkeit der Langzeitkultivierung mit wiederholter Anwendung wirkstoffhaltiger Cremeformulierungen,
2. die Ähnlichkeit zur menschlichen Haut hinsichtlich Struktur und Wechselwirkungen zwischen Dermis und Epidermis
3. eine vergleichbare Expression von Keratinocyten-Differenzierungsmarkern wie Cytokeratin-10, Filaggrin und Transglutaminase
4. eine vergleichbare Expression von Proteinen der Basalmembran, wie Laminin und Collagen IV
5. eine vergleichbare Expression von extrazellularen Matrixproteinen wie Collagen I und III, sowie - in unserem Modell - Elastin.

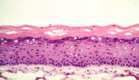
Durch sukzessives Züchten einer Dermis aus Fibroblasten und einer Epidermis mit Stratum Corneum aus Keratinocyten entsteht innerhalb von 5 Wochen ein Ganzhautmodell, das alle wesentlichen Schichten der Haut enthält (6) (Abb. 2). Die immunohistologische Analyse zeigt, dass sowohl die epidermalen Differenzierungsmarker als auch die Proteine der Basalmembran und der dermalen Matrix ähnlich exprimiert werden (Tab. 1).

Abb. 2: Histologischer Vergleich zwischen Ganzhautmodell (oben) und normaler menschlicher Haut (unten)



Tab. 1: Lokalisierung verschiedener Differenzierungsmarker und Proteine in normaler menschlicher Haut und im Ganzhautmodell

Normale menschliche Haut
Ganzhautmodell
Epidermis
Cytokeratin K10
+
+
Filaggrin
+
+
Transglutaminase
+
++
Basalmembran
Collagen Typ IV
+
+
Laminin
+
+
Dermis
Collagen Typ I
+
+
Collagen Typ III
+
+
Elastin
+
+

Das Ganzhautmodell kann für mindestens 4 Wochen im Air-Liquid-Interface weiterkultiviert werden. In dieser Zeit können Alterungsexperimente wie zum Beispiel UV-Bestrahlung durchgeführt werden oder aber auch topische Behandlungen zum Schutz oder zur Pflege der Haut. Der große Vorteil ist, dass diese Hautmodelle ein Stratum Corneum wie normale menschliche Haut enthalten. Die Wirkstoffe können daher unter realistischen Bedingungen in einer Creme- oder Gelgrundlage aufgetragen werden. Die Wirkstoffe dringen durch das Stratum Corneum in die Haut ein und entfalten dort ihre Wirksamkeit.

Antiage-Wirkungen in der extrazellularen Matrix

Collagen-Metabolismus

Wesentliche Veränderungen betreffen die tieferen Hautschichten und hier vor allem die Dermis. Die biologische Ursache ist unter anderem in dem stark veränderten Collagenstoffwechsel zu finden. Die Collagene sind mengenmäßig mit ca. 60% der Trockenmasse der Hauptbestandteil der Haut (7). Unter den Collagen wiederum ist Collagen Typ I mit 70-80% das häufigste (8). Vergleicht man als Maß für die Syntheseaktivität die m-RNA der Fibroblasten einer jungen Alterskohorte mit der einer alten, so stellt man für zum Beispiel Procollagen Typ I eine Abnahme der Syntheseaktivität von ca. 60% fest (9). Darüberhinaus steigt die Syntheserate für Collagenasen an (9). Es wird im Alter also nicht nur weniger Collagen hergestellt, sondern dieses wenige Collagen auch stärker abgebaut. Beide Effekte zusammen führen dazu, dass der Collagengehalt im Schnitt um 1% pro Lebensjahr abnimmt (10). Die Folge ist Abnahme der Zugfestigkeit der Haut und das Auftreten von Falten.

Ein wesentliches Ziel eines Antiage-Kosmetikums ist es daher, die Collagensynthese der Fibroblasten zu stimulieren. In den letzten Jahren wurden eine Reihe von Wirkstoffen identifiziert, die an verschiedenen Stellen stimulierend in den Collagenstoffwechsel eingreifen.

Ascorbinsäure (Vitamin C) ist ein Cofaktor für die Enzyme Lysylhydroxylase und Prolylhydroxylase, die beide essentiell für die Collagenbiosynthese sind. Im Hautmodell wurde aus diesem Grund in unseren Untersuchungen Vitamin C als Positivkontrolle gewählt. Die viermalige topische Anwendung eines Vitamin C-haltigen Gels (50 mg/l Ascorbinsäure) führte innerhalb von 10 Tagen zu einer Steigerung der Gesamt-Collagenproduktion um 40% im Vergleich zur unbehandelten Kontrolle. Für stabilisiertes Retinol, als 0,024%ige kommerzielle Creme über 10 Tage viermal angewendet, wurde eine Steigerung der Collagensynthese um 59% gefunden (5). Retinol wirkt damit ähnlich stimulierend wie Retinsäure, deren Wirksamkeit in mehreren Studien sowohl in vitro (11) als auch in vivo (9,12) nachgewiesen worden ist. Im Unterschied zu Retinsäure ist Retinol wesentlich weniger hautirritierend (13) und führte in verkapselter Form in der eingesetzten kosmetischen Creme zu keiner Hautirritation.

Retinoide sind - im Unterschied zu Vitamin C - nicht direkt an der Collagensynthese beteiligt. Vielmehr wirken sie als Botenstoffe, die den Fibroblasten veranlassen, das Syntheseprogramm für Collagen zu starten (14).

Interessanterweise sind auch manche aus Pflanzen gewonnen Extrakte in der Lage, diese cytokinartige Wirkung zu entfalten (15). So führt Phytokine , ein Sojapeptid, nach 2-wöchiger topischer Anwendung aus einer 10%igen Gelformulierung zu eine Steigerung der Collagensynthese um 37% (16). Abgebautes Collagen kann so in der gealterten Haut ersetzt werden, wie in einer in vivo Studie gezeigt werden konnte (16). In Abb. 3 sind die Ergebnisse zusammenfassend dargestellt.

Abb. 3: Stimulierung der Collagensynthese durch ein 0,005%iges Vitamin C-Gel , eine kommerziell erhältliche Retinolcreme (0,024% Retinol) und ein 10%iges Phytokine -Gel im Ganzhautmodell (Mittelwerte SD aus (5) und (16) zusammengestellt).



Elastin-Metabolismus
Obwohl sie mit einem Gewichtsanteil von 1-3% nur in untergeordneter Menge in der Dermis vorkommen (1), sind Elastine für die Hautelastizität entscheidende Matrixproteine. Insbesondere unter Sonnenlichteinfluss verändert sich der Elastin-Metabolismus. In photoexponierter Haut (Krähenfußbereich) treten - verglichen mit lichtgeschützten Hautstellen - gehäuft solare Elastosen auf, in denen der Elastingehalt deutlich erhöht ist (17,18). Das Elastinnetzwerk ist dichter, weniger geordnet und teilweise aggregiert (19). Die Elastinfasern sind in junger Haut überwiegend vertikal zur dermalen-epidermalen Grenzschicht ausgerichtet. Im Alterungsprozess werden sie lysiert und durch weniger geordnete, vor allem horizontal ausgerichtete Elastinfasern ersetzt (1). Es wird vermutet, dass diese Strukturveränderungen wesentlich zur Abnahme der Hautelastizität im Alter beitragen. Mit dem Torquemeter wurde in vivo eine Abnahme der Hautelastizität um 18% bei Alterung über 50 Jahre gefunden (20).

Abb. 4: Immunfluoreszenz-Darstellung der Elastine in normaler menschlicher Haut und im Ganzhautmodell

Elastin in normaler menschlicher Haut (oben) und im Hautequivalent (unten, 250fache Vergößerung). Immunfluoreszenzstudie an gefrorenen Hautschnitten nach 14 Tagen Kultivierung an Air-Liquid Interface.



In dem hier verwendeten Hautmodell exprimieren die Fibroblasten auch Elastin (Abb. 4). Der Einfluss verschiedener Wirkstoffe auf Elastinmenge und Ausrichtung der Elastinfasern ist Gegenstand der aktuellen Forschung.

Hyaluronsäure-Metabolismus


Weitere Polymerfamilien in der extrazellularen Matrix sind Proteoglycane, Glycosaminoglycane, zu denen zum Beispiel die Hyaluronsäure gehört, und strukturelle Glycoproteine, wie Fibronectin und Laminin. Proteoglycane und Glycosaminoglycane füllen den Raum zwischen den Fasern aus und sind an der strukturellen Ausrichtung und einer ausreichenden Hydratisierung der Collagenfaserbündel beteiligt (1). Die Hyaluronsäure ist ein hochmolekulares Polysaccharid, das große Wassermengen binden kann. Die Abnahme der Hautfeuchtigkeit im Alter wird mit der Abnahme von Hyaluronsäure erklärt (1).

Für das Soya-Phytokine konnte am Ganzhautmodell gezeigt werden, dass es neben der Stimulierung der Collagensynthese auch die Hyaluronsäuresynthese um 3% steigert, eine kleine aber dennoch signifikante Zunahme (15), die in einer in-vivo Studie bestätigt werden konnte (16) (Abb. 5). Fehlende Hyaluronsäure kann so im Innern der gealterten Haut ersetzt werden.

Abb. 5: Stimulierung der Hyaluronsäuresynthese durch ein 10%iges Phytokine -Gel im Ganzhautmodell nach 2 Wochen Behandlung (Inkorporierung von radioaktivem Glucosamin; Mittelwert SD).



Antiage-Wirkungen
an der Basalmembran

In der Basalmembran sind Dermis und Epidermis miteinander verankert. Untersuchungen mit der Saugblasmethode haben gezeigt, dass dieser Zusammenhalt von Dermis und Epidermis im Alter geschwächt wird (21,22). Ein Grund ist die Abflachung der Basalmembran (Abb. 1), ein anderer strukturelle und funktionelle Veränderungen in den Komponenten der Basalmembran. Hier spielt das Glycoprotein Laminin 5 eine Schlüsselrolle bei der Bildung sog. Ankerfibrillen, die die basalen Keratinozyten mit der darunterliegenden Dermis verbinden. Es konnte gezeigt werden, dass bei Zugabe von Laminin 5 die Ausbildung der Basalmembran in einem Hautmodell verbessert werden konnte (22).

Ein Wirkstoff auf Malzbasis, Basaline , ist in der Lage, als 2%ige Creme viermalig über 10 Tage topisch angewendet, die Lamininsynthese in der Basalmembran des Hautmodells zu stimulieren (Abb. 6).

Abb. 6: Immunfluoreszenz-Färbung von Laminin in der Basalmembran des Ganzhautmodells nach viermaliger Behandlung mit 2%iger Basaline -Creme über 10 Tage.

Placebocreme:

Basaline-Creme:


Antiage-Wirkungen auf die
Keratinocytendifferenzierung


Der Alterungsprozess wirkt sich in der Epidermis vor allem als Verlangsamung des Keratinocytenstoffwechsels und der Keratinocytenproliferation aus (2,21). Die Hautdicke nimmt alle 10 Jahre um ca. 6% ab, wovon auch die Epidermis betroffen ist (1,23). Damit einhergehend sinkt auch der Gehalt an wichtigen Matrixbestandteilen der Epidermis. Hier ist vor allem Filaggrin und die damit zusammenhängenden Verbindungen zu nennen, die im Verlauf der Keratinocytendifferenzierung verschiedene wichtige Funktionen übernehmen. Filaggrin (filament aggregating protein) entsteht aus seinem hochmolekularen Vorläufer Profilaggrin in den tieferen Schichten des Stratum corneums. Nachdem sich ein Filaggrin-Keratin-Komplex gebildet hat, katalysiert Filaggrin die Disulfidbrückenbildung zwischen den Keratinsträngen. Ein stabiles Keratinnetzwerk ist - unter anderem - wichtig für die Barrierefunktion des Stratum Corneums. Nachdem es diese Aufgabe erfüllt hat, wird Filaggrin proteolysiert und metabolisiert, bis seine Bestandteile schließlich den natürlichen Feuchthaltefaktor der Haut (natural moisturizing factor NMF) bilden. Auf diese Weise wird Wasser im Stratum Corneum gehalten und die Haut vor Austrocknung geschützt (24). In trockener, schuppiger Haut, wie man sie häufig bei Atopikern oder bei älteren Personen am Unterschenkel findet, ist der Filaggringehalt reduziert. Im Vergleich von unter 20-Jährigen mit über 60-Jährigen wurde eine Abnahme um 41% am Unterschenkel gefunden, parallel zum klinischen Auftreten trockener Haut (25).

Zur Stimulierung der Filaggrinsynthese hat sich ein Algenextrakt aus Spirulina bewährt (26), der aus 1%iger Creme im Hautmodell zu einer Zunahme der Filaggrin-haltigen Zone in der Epidermis von 1 auf 8,5 µm führte (Abb. 7).

Abb. 7
: Dicke der Filaggrin-haltigen Zone im Ganzhautmodell nach viermaliger Behandlung mit 1%iger Spirulina-Extrakt-haltiger Creme über 10 Tage (Mittelwert SD).



Bestätigung der
Antiage-Wirkungen in vivo

Nach sorgfältiger Untersuchung verschiedener Antiage-Wirkstoffe im Ganzhautmodell stellt sich - insbesondere aus Sicht des Verbrauchers - die entscheidende Frage, wie diese Erkenntnisse in neuen Antiage-Hautkosmetika umgesetzt werden können und welche Antiage-Effekte vom Verbraucher auch subjektiv wahrgenommen werden können. Die Erfahrung zeigt, dass die Verbraucher besonders auf die Antifaltenwirkung achten, und hier besonders auf die Falten im Augenwinkelbereich. Mit der seit einigen Jahren verfügbaren FOITS-Methode (Fast Optical In-vivo Topography of the Skin) kann die Faltentopographie im Augenwinkelbereich berührungslos vor und nach Anwendung gemessen werden. Die in vivo Studien erfolgen üblicherweise als Halbseitentest (unbehandelte Seite als Kontrolle gegen Verumbehandlung) mit marktreifen Antiage-Cremes in einer kontrollierten Gebrauchssituation. Die 30 Probanden nutzen die wirkstoffhaltige Creme über 4 Wochen täglich, die Messungen erfolgen vor der Cremebehandlung und 8 Stunden nach der letzten Anwendung nach 4 Wochen. Tabelle 2 zeigt die Antiage-Wirkungen von zwei Cremes in den zwei wesentlichen Faltenparametern.

Tabelle 2: Antifalten-Wirkung zweier Antiage-Cremes nach täglicher Anwendung über 4 Wochen (je 30 Probanden)

Antiage-Creme mit
Absolute Veränderung
Relative Veränderung
1% Phytokine
Hautrauhigkeit Δ Ra
Differenz (behandelt - unbehandelt)
-4 µm
-13%
Faltentiefe Δ Rz
Differenz (behandelt - unbehandelt)
-31 µm
-16%
0,024% Retinol
Hautrauhigkeit Δ Ra
Differenz (behandelt - unbehandelt)
-4 µm
-13%
Faltentiefe Δ Rz
Differenz (behandelt - unbehandelt)
-28 µm
-15%

Die Faltenglättung nach Cremebehandlung ist auch visuell deutlich zu erkennen. Die abschließende Befragung der Probandinnen führte zu sehr guten Noten hinsichtlich Hautglätte, Hautstruktur, Hautgeschmeidigkeit und Hautstraffheit.

Dieses Beispiel der Entwicklung zweier Antiage-Cremes zeigt deutlich, wie die neu in der kosmetischen Forschung etablierten Ganzhautmodelle helfen, aussichtsreiche Antiage-Wirkstoffe zu charakterisieren, die zielgerichtet in unterschiedliche Phänomene des komplexen Hautalterungsprozesses eingreifen. In Zukunft werden uns Hautmodelle sicherlich noch viele biochemische Einsichten über die Hautalterung und die Wirkungsweise neuer aber auch bekannter Wirkstoffe liefern.

Literatur

[1] L. Robert, Extracellular matrix and aging: A review of mechanisms and interventions, Cosmetics Toiletries 116 (2001) 61-73
[2] B.A. Gilchrest, (ed), Skin and aging processes, CRC press, Boca Raton (1984)
[3] S. Meanne, Blistering diseases due to decline of adhesive proteins content have also been observed for aged patients, Vieillissement cutané, Seminaire "vieillissement cutané", Paris 21 et 22 nov. (1996) 190-214
[4] V. Frei, E. Perrier, I. Orly, A. Huc, Activation of fibroblast metabolism in a dermal and a skin equivalent model: a screening test for activity of peptides, Int. J. Cosmet. Sci. 20 (1998) 159-173
[5] K. Schlotmann, M. Kaeten, A. F. Black, O. Damour, M. Waldmann-Laue, Th. Förster, Cosmetic efficacy claims in vitro using a 3D human skin model, Int. J. Cosmet. Sci. 23 (2001) 1-10
[6] C. Augustin, C. Collombel, O. Damour, Use of in vitro dermal equivalent and skin equivalent kits for evaluating cutaneous toxicity of cosmetic products, In Vitro Toxicology 10 (1997) 23-31
[7] C. R. Lovell, K. A. Smolenski, V. C. Duance, N. D. Light, S. Young, M. Dyson, Type I and III Collagen Content and Fibre Distribution in Normal Human Skin during Ageing, Brit. J. Dermatol. 117 (1987) 419-428
[8] P. Bornstein, H. Sage, Structurally distinct collagen types, Ann. Rev. Biochem. 49 (1980), 957
[9] J. Varani, J. R. L. Warner, M. Gharaee-Kermani, S. H. Phan, S. Kang, J. Chung, Z. Wang, S. C. Datta, G. J. Fisher, J. J. Voorhees, Vitamin A antagonizes decreased cell growth and elevated collagen-degrading matrix metalloproteinases and stimulates collagen accumulation in naturally aged human skin, J. Invest. Dermatol. 114 (2000) 480-486
[10] S. Shuster, M. M. Black, E. McVitie, The influence of age and sex on skin thickness, skin collagen and density, Brit. J. Dermatol. 93 (1975), 639-643
[11] J. K. Jutley, E. J. Wood, W. J. Cunliffe, Influence of retinoic acid and TGF-beta on dermal fibroblast proliferation and collagen production in monoplayer cultures and dermal equivalents, Matrix 13 (1993) 235-241
[12] E. Schwartz, F. A. Cruickshank, J. A. Mezick, L. H. Kligman, Topical all-trans retinoic acid stimulates collagen synthesis in vivo, J. Invest. Dermatol. 96 (1991) 975-978
[13] J.W. Fluhr, M.-P. Vienne, C. Lauze, P. Dupuy, W. Gehring, M. Gloor, Tolerance profile of retinol, retinaldehyde and retinoic acid under maximized and long-term clinical conditions, Dermatology 199 (Suppl. 1) (1999) 57-60
[14] Z. Wang, M. Boudjeal, S. Kang, J. J. Voorhes, G. Fisher, Ultraviolet irradiation of human skin causes functional vitamin A deficiency, preventable by all-trans retinoic acid pretreatment, Nature Med 5 (1999) 418-422
[15] C. Augustin, V. Frei, E. Perrier, A. Huc, O. Damour, An in vitro selection of new cosmetic active compounds: from screening tests on monolayered fibroblast culture to efficiency study on 3-D dermal equivalent, J. Appl. Cosmetol. 15 (1997) 1-11
[16] V. Andre-Frei, E. Perrier, C. Augustin, O. Damour, P. Bordat, K. Schumann, T. Förster, M. Waldmann-Laue, A comparison of biological activities of a new soya biopeptide studied in an in vitro skin equivalent model and human volunteers, Int. J. Cosmet. Sci. 21 (1999) 299-311
[17] E.F. Bernstein, D. B. Brown, F. Urbach, D. Forbes, M. del Monaco, M. Wu, D. Katchman, J. Uitto, Ultraviolet radiation activates the human elastin promotor, J. Invest. Dermatol. 105 (1995) 269-273
[18] J. Bhawan, W. Andersen, J. Lee, R. Labadie, G. Solares, Photoaging versus intrinsic aging: a morphological assessment of facial skin, J. Cutan. Pathol. 22 (1995) 154-159
[19] R. M. Lavker, P. Zheng, G. Dong, Aged skin: A study by light, transmission electron, and scanning electron microscopy, J. Invest. Dermatol. 88 (1987) 44-51
[20] C. Escoffier, J. de Rigal, A. Rochefort, R. Vasselet, J. L. Leveque, P. G. Agache, Age-related mechanical properties of human skin: an in vivo study, J. Invest. Dermatol. 503 (1989) 353-357
[21] N. A. Fenske, C.W. Lober, Structural and functional changes of normal aging skin, J. Am. Acad. Dermatol. 15 (1986) 571-85
[22] S.Amano, Y. Matsunaga, N. Akutsu, K. Kadoya, M. Fukuda, I. Horii, T.Takamatsu, E. Adachi, T.Nishiyama, Basement membrane damage, a sign of skin early aging, and laminin 5, a key player in basement membrane player. IFSCC Magazine 3(4) (2000) 15-21
[23] I. M. Hadshiew, M. S. Eller, B. A. Gilchrest, Skin aging and photoaging: the role of DNA damage and repair. Am. J. Contact Dermatitis 11 (2000) 19-25
[24] C. R. Harding, A. Watkinson, A. V. Rawlings, Dry skin, moisturization and corneodesmolysis, Int. J. Cosmet. Sci. 22 (2000) 21-52
[25] T. Tezuka, J. Qing, M. Saheki, S. Kusuda, M. Takahashi, Terminal differentiation of facial epidermis of the aged: immunohistochemical studies, Dermatology 188 (1994) 21-24
[26] K. Schlotmann, M. Waldmann-Laue, E. Köhler, C. Jassoy, M. Kaeten, O. Pulz, E. Kurth, Extrakt aus der Blaualge Spirulina und seine Verwendung in kosmetischen und dermatologischen Mitteln zur Haut- und Körperpflege, DE 100 59 107 A1 und PCT/EP 00/12691, 2001



nach oben


8.8.2002 Copyright © 2000 - 2017 ID-Institute for Dermopharmacy GmbH. Kontakt: webmaster@gd-online.de